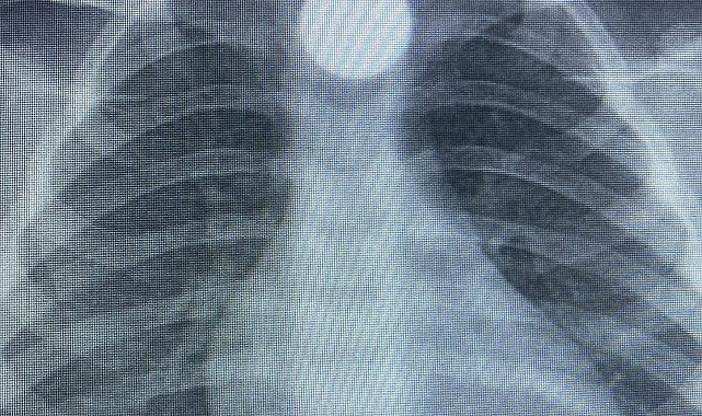
BURSA'nın İnegöl ilçesinde evde bulup yuttuğu 50 kuruş madeni para yemek borusunda takılı kalan Bilal K. (3), hastanede tedaviye alındı.Olay, kırsal Yeniceköy Mahallesi'nde meydana geldi. Bilal K., evde oynarken yerde bulduğu 50 kuruş madeni parayı ağzına alıp yuttu. Durumu fark eden ailesi, Bilal K.'yi özel araçla İnegöl Devlet Hastanesi'ne götürdü. Hastanede yapılan kontrollerde, madeni paranın Bilal K.'nin yemek borusunda takılı kaldığı belirlendi. Burada ilk müdahalesi yapılan Bilal K., daha sonra ambulansla Bursa Yüksek İhtisas Eğitim ve Araştırma Hastanesi'ne sevk edildi. Bilal K.'nin tedavisinin sürdüğü öğrenilirken, olaya ilişkin soruşturma başlatıldı.
Asayiş
Yayınlanma: 03 Şubat 2026 - 15:29
3 yaşındaki Bilal'in, yuttuğu 50 kuruş yemek borusunda takıldı
Yavuz YILMAZ/İNEGÖL (Bursa), (DHA)- BURSA'nın İnegöl ilçesinde evde bulup yuttuğu 50 kuruş madeni para yemek borusunda takılı kalan Bilal K
Asayiş
03 Şubat 2026 - 15:29







